●영국사랑 공식 협력병원, 연세굿데이치과● 돌출입 치아교정 치료전후
페이지 정보
작성자본문
● 담당과 : 교정과
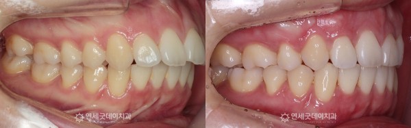
● 치료요약 : 발치 및 미니스크류를 이용한 돌출입 치아교정
환자분은 잇몸뼈의 돌출이라기 보단,
치아 자체가 앞으로 튀어나온 돌출입 케이스였습니다.
입을 다물면 턱선이 무턱처럼 둥글게 보이고
입술은 코 끝과 거의 일직선으로 떨어지며
입술 돌출감이 두드러졌습니다.
정면에서도 앞니의 돌출로 다소 투박한 인상이 형성되었고요.
따라서 상악 #14, 24 두개 치아를 발치하고
발치공간을 이용해서 치아를 뒤로 후방 견인시키는
돌출입 교정 계획을 수립했습니다.
상악에 미니스크류를 식립하여 고무줄을 걸어
전반적으로 치아를 뒤로 이동시켰습니다.
2년여 간의 발치 교정을 통해서
치아 배열은 물론 뻗쳐있던 앞니 각도가 개선되고
치아가 전체적으로 후방 이동하면서 돌출감 해소와
어금니의 안정적인 교합이 완성되었습니다.
안모 역시 무턱에서 턱이 길어지면서
턱선이 살아나는 방향으로 개선되고
다소 투박했던 인상에서 세련되고 심미적으로 바뀌었습니다.
환자분처럼 전형적인 돌출입의 경우 발치했을 때
비발치 이상의 심미적인 변화와 확실한 결과를 얻을 수 있는 점 참고해주시길 바랍니다.
긴 치료 받으시느라 고생 많으셨습니다. ^^
---------------------------------
※ 모든 사진은 환자 본인의 동의를 얻어
동일조건에서 촬영하였으며
개인의 차이에 따라 치료 후 부작용이 발생할 수 있으므로
전문의와 충분한 상담이 필요합니다.
※ 치료전후 촬영시기
2023년 8월 / 2025년 11월
---------------------------------
▶ 홈페이지 : https://www.gooddaysmile.com/
▶ 카톡상담 : http://pf.kakao.com/_xmxlhaxb/chat
● 치료요약 : 발치 및 미니스크류를 이용한 돌출입 치아교정
환자분은 잇몸뼈의 돌출이라기 보단,
치아 자체가 앞으로 튀어나온 돌출입 케이스였습니다.
입을 다물면 턱선이 무턱처럼 둥글게 보이고
입술은 코 끝과 거의 일직선으로 떨어지며
입술 돌출감이 두드러졌습니다.
정면에서도 앞니의 돌출로 다소 투박한 인상이 형성되었고요.
따라서 상악 #14, 24 두개 치아를 발치하고
발치공간을 이용해서 치아를 뒤로 후방 견인시키는
돌출입 교정 계획을 수립했습니다.
상악에 미니스크류를 식립하여 고무줄을 걸어
전반적으로 치아를 뒤로 이동시켰습니다.
2년여 간의 발치 교정을 통해서
치아 배열은 물론 뻗쳐있던 앞니 각도가 개선되고
치아가 전체적으로 후방 이동하면서 돌출감 해소와
어금니의 안정적인 교합이 완성되었습니다.
안모 역시 무턱에서 턱이 길어지면서
턱선이 살아나는 방향으로 개선되고
다소 투박했던 인상에서 세련되고 심미적으로 바뀌었습니다.
환자분처럼 전형적인 돌출입의 경우 발치했을 때
비발치 이상의 심미적인 변화와 확실한 결과를 얻을 수 있는 점 참고해주시길 바랍니다.
긴 치료 받으시느라 고생 많으셨습니다. ^^
---------------------------------
※ 모든 사진은 환자 본인의 동의를 얻어
동일조건에서 촬영하였으며
개인의 차이에 따라 치료 후 부작용이 발생할 수 있으므로
전문의와 충분한 상담이 필요합니다.
※ 치료전후 촬영시기
2023년 8월 / 2025년 11월
---------------------------------
▶ 홈페이지 : https://www.gooddaysmile.com/
▶ 카톡상담 : http://pf.kakao.com/_xmxlhaxb/chat
비추천0
댓글목록
등록된 댓글이 없습니다.






내가 쓴 글 보기


