●영국사랑 공식 협력병원, 연세굿데이치과● 핀홀 잇몸이식을 동반한 아랫니부분교정(치주교정) 치료전후 > 서비스광고

본문 바로가기

 <  구인구직  <  서비스광고

●영국사랑 공식 협력병원, 연세굿데이치과● 핀홀 잇몸이식을 동반한 아랫니부분교정(치주교정) 치료전후

페이지 정보

작성자 no_profile 연세굿데이치과 쪽지보내기 메일보내기 자기소개 아이디로 검색 전체게시물  (14.♡.235.230) 댓글 1건 조회 220회 작성일 25-11-25 14:41

본문

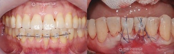
● 담당과 : 교정과 + 치주과
● 치료요약 : 아랫니부분교정과 핀홀을 동반하여 치주교정 진행


아래 앞니 잇몸이 내려갔다는 주소로
내원해주신 50대 남성 환자분이십니다.

환자분은 대학생 시절 교정치료를 하셨고
이후 아래 앞니 잇몸이 점차
내려가기 시작했다고 하셨는데요.
타원에서도 상담을 받아보셨지만
뚜렷한 치료방법을 찾지 못해 본원에 내원해주셨습니다.

이러한 경우, 2가지 옵션을 고려할 수 있는데요.
▶ Option 1. 부분교정 후 엠도게인 + 입천장 잇몸이식술 + 핀홀수술
▶ Option 2. 부분교정 불가능 할 경우, 엠도게인 + 핀홀수술

환자분은 아랫니부분교정을
약 8~10개월 가량 선행한 뒤
핀홀 잇몸수술을 하는 치료계획으로 진행되었습니다.

약 5개월 간의 아랫니부분교정만으로도
내려갔던 잇몸이 점차 차오르는 양상을 보였습니다.

‘치주교정’은 잇몸뼈 밖으로 돌출된 치아를
올바른 위치에 안정적으로 위치시킨 후에
잇몸치료를 병행하여 자연치아를 살리는 잇몸교정입니다.

교정을 마친 후에는
입천장에서 채취한 잇몸조직과
콜라겐 차폐막, 엠도게인을 함께 적용하여
잇몸이식수술을 진행했습니다.

약 9개월 간의 아랫니부분교정과 핀홀수술로
건강하고 심미적으로 복구된 모습입니다.
치료한 부위가 어디인지 구분하기 어려울 정도로
자연스럽고 두툼한 잇몸이 형성되었습니다.

치주교정은 단순히 치아배열을 교정하는 게 아닙니다.
잇몸문제를 동반하고 있어
자연치아를 보존하기 어려울 때
치주교정을 통해 치아를 발치시기를 늦추거나,
자연치아를 살리는 대안이 될 수 있습니다.

치료 받으시느라 고생 많으셨습니다 ^^

영국사랑 회원님들 중에도
이러한 고민이 있으시다면
언제든지 편안하게 문의 남겨주시기 바랍니다~!


---------------------------------

※ 모든 사진은 환자 본인의 동의를 얻어
동일조건에서 촬영하였으며
개인의 차이에 따라 치료 후 부작용이 발생할 수 있으므로
전문의와 충분한 상담이 필요합니다.

※ 치료전후 촬영시기
2024년 12월 / 2025년 10월

---------------------------------

▶ 홈페이지 : https://www.gooddaysmile.com/
▶ 카톡상담 : http://pf.kakao.com/_xmxlhaxb/chat
비추천0
  • 트위터로 보내기
  • 페이스북으로 보내기

댓글목록

연세굿데이치과님의 댓글

no_profile 연세굿데이치과 쪽지보내기 메일보내기 자기소개 아이디로 검색 전체게시물 아이피 (14.♡.235.230) 작성일

영국사랑 회원님들 중에도 이러한 고민이 있으시다면 언제든지 편안하게 문의 남겨주시기 바랍니다~!

▶ 홈페이지 : https://www.gooddaysmile.com/
▶ 카톡상담 : http://pf.kakao.com/_xmxlhaxb/chat

Total 7,112건 1 페이지
서비스광고 목록
번호 제목 글쓴이 조회 날짜
공지 운영자 쪽지보내기 메일보내기 홈페이지 자기소개 아이디로 검색 전체게시물 2644 2024-04-17
7111 no_profile 한진택배런던 쪽지보내기 메일보내기 자기소개 아이디로 검색 전체게시물 4 2025-12-15
7110 no_profile 하나로익스프레스 쪽지보내기 메일보내기 자기소개 아이디로 검색 전체게시물 15 2025-12-15
7109 no_profile tabacco 쪽지보내기 메일보내기 자기소개 아이디로 검색 전체게시물 18 2025-12-15
7108 no_profile optimal1 쪽지보내기 메일보내기 홈페이지 자기소개 아이디로 검색 전체게시물 28 2025-12-15
7107 no_profile K1007 쪽지보내기 메일보내기 자기소개 아이디로 검색 전체게시물 33 2025-12-15
7106 no_profile KOREX 쪽지보내기 메일보내기 자기소개 아이디로 검색 전체게시물 47 2025-12-15
7105 no_profile EUROPARCEL 쪽지보내기 메일보내기 홈페이지 자기소개 아이디로 검색 전체게시물 44 2025-12-15
7104 no_profile SNLEXPRESS 쪽지보내기 메일보내기 홈페이지 자기소개 아이디로 검색 전체게시물 45 2025-12-15
7103 no_profile 중경삼림 쪽지보내기 메일보내기 자기소개 아이디로 검색 전체게시물 53 2025-12-15
7102 no_profile 브릿센트 쪽지보내기 메일보내기 홈페이지 자기소개 아이디로 검색 전체게시물 53 2025-12-14
7101 no_profile K1007 쪽지보내기 메일보내기 자기소개 아이디로 검색 전체게시물 50 2025-12-14
7100 no_profile 코스모스 쪽지보내기 메일보내기 자기소개 아이디로 검색 전체게시물 52 2025-12-14
7099 no_profile 코렉스 쪽지보내기 메일보내기 자기소개 아이디로 검색 전체게시물 49 2025-12-14
7098 no_profile JJTherapy 쪽지보내기 메일보내기 자기소개 아이디로 검색 전체게시물 52 2025-12-14
7097 no_profile 브릿센트챌린지 쪽지보내기 메일보내기 자기소개 아이디로 검색 전체게시물 55 2025-12-14
7096 no_profile DUXGLOBALSERVIC… 쪽지보내기 메일보내기 홈페이지 자기소개 아이디로 검색 전체게시물 83 2025-12-14
7095 no_profile 중경삼림 쪽지보내기 메일보내기 자기소개 아이디로 검색 전체게시물 79 2025-12-14
7094 no_profile Richardn 쪽지보내기 메일보내기 자기소개 아이디로 검색 전체게시물 174 2025-12-12
7093 no_profile K1007 쪽지보내기 메일보내기 자기소개 아이디로 검색 전체게시물 214 2025-12-12
게시물 검색
내가 쓴 글 보기
구인구직
구인/구직
과외/레슨
서비스광고