●영국사랑 공식 협력병원, 연세굿데이치과● 하악 골융기(토러스, torus) 제거, 치조골성형술 치료전후 > 서비스광고

본문 바로가기

 <  구인구직  <  서비스광고

●영국사랑 공식 협력병원, 연세굿데이치과● 하악 골융기(토러스, torus) 제거, 치조골성형술 치료전후

페이지 정보

작성자 no_profile 연세굿데이치과 쪽지보내기 메일보내기 자기소개 아이디로 검색 전체게시물  (14.♡.235.230) 댓글 0건 조회 107회 작성일 25-12-10 14:58

본문

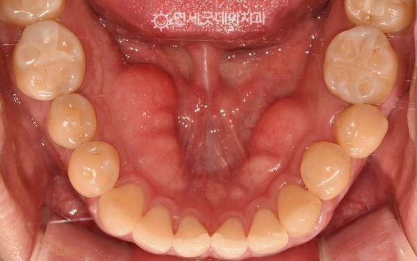
하악골융기가 신경쓰이고
불편하다는 주소로
내원해주신 30대 남성분이십니다.

환자분은 하악골융기 하방으로
음식물이 많이 끼고 신경쓰이는 듯한
불편함을 호소하셨으며
혀 밑으로 양쪽에 크기가 큰 토러스가 관찰되었습니다.

토러스는 씹는 힘에 보상하기 위해
뼈가 자라나는 현상입니다.

임상적으로 문제가 있는 것은 아니지만
하악골융기가 생긴 부위는
뼈가 두껍고 단단하기 때문에
음식물이 많이 끼고
특히 틀니나 교정기 같은
보철 장치를 사용하는 경우에는
더욱 불편할 수 있습니다.

환자분은 치조골성형술을 통해
양쪽 토러스를 제거하는
치료계획을 수립하였습니다.

하악골융기 제거 직후로,
울퉁불퉁한 골융기가 제거되고
잘 아물수 있도록 깔끔히 봉합해드렸으며
10일 후 경과체크를 위해 내원하셨을 땐
토러스 제거부위가 잘 아물고 있었습니다.

대부분 1~2주 내로 완전히 힐링되어
매끈한 잇몸으로 회복하실 수 있답니다.

하악골융기는 자극에 의해
뼈가 자라는 것으로
씹는 힘이 강하다면 누구에게나
나타날 수 있는 정상반응입니다.

무조건 토러스를 제거해야 하는 것은 아니지만,
토러스로 인해 음식물이 껴서 불편하시거나
틀니나 보철이 맞지 않는 경우
통증이 있는 경우 등에는
치조골성형술을 고려해보시길 바랍니다. ^^


---------------------------------

※ 모든 사진은 환자 본인의 동의를 얻어
동일조건에서 촬영하였으며
개인의 차이에 따라 치료 후 부작용이 발생할 수 있으므로
전문의와 충분한 상담이 필요합니다.

※ 치료전후 촬영시기
2025년 10월 / 2025년 11월

---------------------------------

▶ 홈페이지 : https://www.gooddaysmile.com/
▶ 카톡상담 : http://pf.kakao.com/_xmxlhaxb/chat
비추천0
  • 트위터로 보내기
  • 페이스북으로 보내기

댓글목록

등록된 댓글이 없습니다.

Total 7,112건 1 페이지
서비스광고 목록
번호 제목 글쓴이 조회 날짜
공지 운영자 쪽지보내기 메일보내기 홈페이지 자기소개 아이디로 검색 전체게시물 2644 2024-04-17
7111 no_profile 한진택배런던 쪽지보내기 메일보내기 자기소개 아이디로 검색 전체게시물 4 2025-12-15
7110 no_profile 하나로익스프레스 쪽지보내기 메일보내기 자기소개 아이디로 검색 전체게시물 15 2025-12-15
7109 no_profile tabacco 쪽지보내기 메일보내기 자기소개 아이디로 검색 전체게시물 18 2025-12-15
7108 no_profile optimal1 쪽지보내기 메일보내기 홈페이지 자기소개 아이디로 검색 전체게시물 28 2025-12-15
7107 no_profile K1007 쪽지보내기 메일보내기 자기소개 아이디로 검색 전체게시물 33 2025-12-15
7106 no_profile KOREX 쪽지보내기 메일보내기 자기소개 아이디로 검색 전체게시물 47 2025-12-15
7105 no_profile EUROPARCEL 쪽지보내기 메일보내기 홈페이지 자기소개 아이디로 검색 전체게시물 44 2025-12-15
7104 no_profile SNLEXPRESS 쪽지보내기 메일보내기 홈페이지 자기소개 아이디로 검색 전체게시물 45 2025-12-15
7103 no_profile 중경삼림 쪽지보내기 메일보내기 자기소개 아이디로 검색 전체게시물 53 2025-12-15
7102 no_profile 브릿센트 쪽지보내기 메일보내기 홈페이지 자기소개 아이디로 검색 전체게시물 53 2025-12-14
7101 no_profile K1007 쪽지보내기 메일보내기 자기소개 아이디로 검색 전체게시물 50 2025-12-14
7100 no_profile 코스모스 쪽지보내기 메일보내기 자기소개 아이디로 검색 전체게시물 52 2025-12-14
7099 no_profile 코렉스 쪽지보내기 메일보내기 자기소개 아이디로 검색 전체게시물 49 2025-12-14
7098 no_profile JJTherapy 쪽지보내기 메일보내기 자기소개 아이디로 검색 전체게시물 52 2025-12-14
7097 no_profile 브릿센트챌린지 쪽지보내기 메일보내기 자기소개 아이디로 검색 전체게시물 55 2025-12-14
7096 no_profile DUXGLOBALSERVIC… 쪽지보내기 메일보내기 홈페이지 자기소개 아이디로 검색 전체게시물 83 2025-12-14
7095 no_profile 중경삼림 쪽지보내기 메일보내기 자기소개 아이디로 검색 전체게시물 79 2025-12-14
7094 no_profile Richardn 쪽지보내기 메일보내기 자기소개 아이디로 검색 전체게시물 174 2025-12-12
7093 no_profile K1007 쪽지보내기 메일보내기 자기소개 아이디로 검색 전체게시물 214 2025-12-12
게시물 검색
내가 쓴 글 보기
구인구직
구인/구직
과외/레슨
서비스광고