●영국사랑 공식 협력병원, 연세굿데이치과● 재신경치료 및 실활치미백 치료전후
페이지 정보
작성자본문
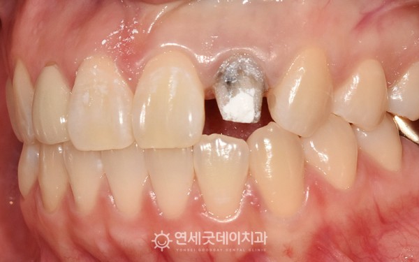
앞니 잇몸 변색으로 내원해주신 20대 여성 환자분입니다.
타원에서 10년 전에 크라운 치료를 받았던 부위에
뿌리 끝 염증 즉, 치근단 병소가 관찰됐습니다.
신경관 내 문제를 일으켰던
세균이 완벽히 제거되지 못하면서
다시 염증을 유발하며 치아 뿌리 주변의 뼈를 녹이고 있었습니다.
연조직에는 누공이 관찰되진 않았지만
과거 신경치료 부위가 비쳐보이면서
잇몸이 검게 변색된 상태였습니다.
이처럼 신경치료한 치아가 검게 변색된 경우에는
실활치미백을 통해 치아를 밝게 개선할 수 있는데요.
환자분은 우선 재신경치료로 염증을 제거한 뒤,
이후 실활치미백을 진행하는 것으로 치료계획을 수립했습니다.
감염된 부위를 깨끗하게 제거한 후
치아 뿌리 끝까지 충전재가 잘 채워지며
치료가 안정적으로 진행되었습니다.
과거 신경치료로 인해 검게 변했던 치아는
실활치미백을 통해 밝게 개선해주었습니다.
치근단절제술까지 고려해야 할 정도로 고난이 케이스였지만
재신경치료를 통해 잘 회복하였습니다.
치료 전 잇몸이 검게 비쳐 보였던 부분도
완전히 해소되었으며 심미적이고 기능적인
지르코니아 보철물로 치료를 마무리해드렸습니다.
신경치료의 핵심은 문제를 일으킨
신경관을 빠짐없이 찾아내는 것입니다.
연세굿데이치과는 오랫동안 자연치아살리기 진료를
전문적으로 다뤄온 임상경험을 바탕으로
치아를 살릴 수 있는 단 1% 가능성이 있다면
포기하지않고 치아를 살리기 위해 노력하겠습니다.
---------------------------------
※ 모든 사진은 환자 본인의 동의를 얻어
동일조건에서 촬영하였으며
개인의 차이에 따라 치료 후 부작용이 발생할 수 있으므로
전문의와 충분한 상담이 필요합니다.
※ 치료전후 촬영시기
2025년 8월 / 2025년 10월
---------------------------------
▶ 홈페이지 : https://www.gooddaysmile.com/
▶ 카톡상담 : http://pf.kakao.com/_xmxlhaxb/chat
타원에서 10년 전에 크라운 치료를 받았던 부위에
뿌리 끝 염증 즉, 치근단 병소가 관찰됐습니다.
신경관 내 문제를 일으켰던
세균이 완벽히 제거되지 못하면서
다시 염증을 유발하며 치아 뿌리 주변의 뼈를 녹이고 있었습니다.
연조직에는 누공이 관찰되진 않았지만
과거 신경치료 부위가 비쳐보이면서
잇몸이 검게 변색된 상태였습니다.
이처럼 신경치료한 치아가 검게 변색된 경우에는
실활치미백을 통해 치아를 밝게 개선할 수 있는데요.
환자분은 우선 재신경치료로 염증을 제거한 뒤,
이후 실활치미백을 진행하는 것으로 치료계획을 수립했습니다.
감염된 부위를 깨끗하게 제거한 후
치아 뿌리 끝까지 충전재가 잘 채워지며
치료가 안정적으로 진행되었습니다.
과거 신경치료로 인해 검게 변했던 치아는
실활치미백을 통해 밝게 개선해주었습니다.
치근단절제술까지 고려해야 할 정도로 고난이 케이스였지만
재신경치료를 통해 잘 회복하였습니다.
치료 전 잇몸이 검게 비쳐 보였던 부분도
완전히 해소되었으며 심미적이고 기능적인
지르코니아 보철물로 치료를 마무리해드렸습니다.
신경치료의 핵심은 문제를 일으킨
신경관을 빠짐없이 찾아내는 것입니다.
연세굿데이치과는 오랫동안 자연치아살리기 진료를
전문적으로 다뤄온 임상경험을 바탕으로
치아를 살릴 수 있는 단 1% 가능성이 있다면
포기하지않고 치아를 살리기 위해 노력하겠습니다.
---------------------------------
※ 모든 사진은 환자 본인의 동의를 얻어
동일조건에서 촬영하였으며
개인의 차이에 따라 치료 후 부작용이 발생할 수 있으므로
전문의와 충분한 상담이 필요합니다.
※ 치료전후 촬영시기
2025년 8월 / 2025년 10월
---------------------------------
▶ 홈페이지 : https://www.gooddaysmile.com/
▶ 카톡상담 : http://pf.kakao.com/_xmxlhaxb/chat
비추천0
댓글목록
등록된 댓글이 없습니다.






내가 쓴 글 보기


