●영국사랑 공식 협력병원, 연세굿데이치과● 잇몸퇴축, 아랫니 부분교정 치료전후 – 30대 여성, 치주교정
페이지 정보
작성자
본문
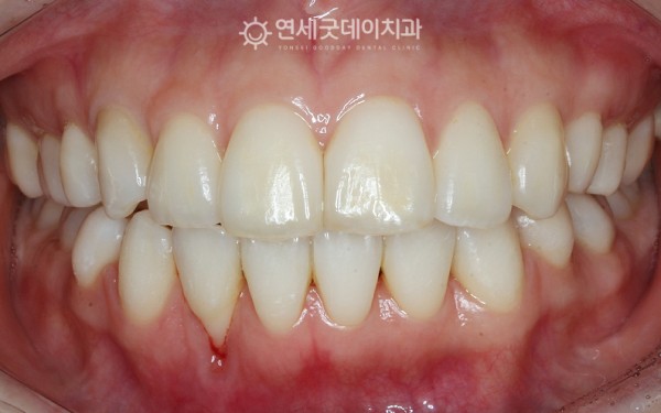
잇몸퇴축을 주소로 내원해주신 30대 여성 환자분이십니다.
환자분은 오래 전 교정했던 치과가 폐업하면서
교정 유지관리가 미흡해지고
이러한 이유로 치근 위치가 이동하여
잇몸 밖으로 돌출되어 있는 상태였습니다.
이러한 경우 치주교정을 통해
치아를 올바른 위치로
재배열 시켜줌으로써
잇몸퇴축을 개선할 수 있는데요.
‘치아를 살리는 잇몸교정’ 치주교정 Options
▶ Option① 아랫니 부분교정 이후 핀홀 + 엠도게인
▶ Option② i-GBR + Pontic
환자분께 2가지 옵션을 제안드렸으며
옵션①을 적용하여 근본적인 문제였던
치아를 재배열하고 잇몸퇴축을 개선하는 치료계획을 수립했습니다.
아랫니 부분교정으로
치아배열을 개선하는 과정을 거쳤고
치아가 잇몸뼈 안으로 올바르게 위치하면서
치근 주변으로 잇몸이 점차 차오르는 게 관찰되었습니다.
약 10개월 간의 치주교정이 종결되었으며,
단순한 심미 개선 뿐만이 아니라
치아와 잇몸의 기능적 안정성이 확보되었습니다.
※ 환자분은 추후 치주과와 협력하여
핀홀 수술을 통해 잇몸퇴축 부위를
더욱 두툼하게 보강할 예정입니다.
잇몸이 불안정한 상태에서
무리한 교정을 진행하게 되면
치아뿌리가 흡수되거나 잇몸퇴축 등
다양한 문제가 동반될 가능성이 높습니다.
연세굿데이치과는 교정과 – 치주과가 협력진료하여
내 치아를 오랜기간 사용하실 수 있도록
적합한 치주교정 옵션을 제안드리고 있습니다.
올해 웨딩촬영을 앞두고 걱정이 크셨을텐데
치료 받으시느라 고생 많으셨습니다. ^^
※ 모든 사진은 환자 본인의 동의를 얻어 동일조건에서 촬영하였으며
개인의 차이에 따라 치료 후 부작용이 발생할 수 있으므로 전문의와 충분한 상담이 필요합니다.
※ 치료전후 촬영시기
(전) 2024년 10월 (후) 2025년 8월
---------------------------------
▶ 홈페이지 : https://www.gooddaysmile.com/
▶ 카톡상담 : http://pf.kakao.com/_xmxlhaxb/chat
환자분은 오래 전 교정했던 치과가 폐업하면서
교정 유지관리가 미흡해지고
이러한 이유로 치근 위치가 이동하여
잇몸 밖으로 돌출되어 있는 상태였습니다.
이러한 경우 치주교정을 통해
치아를 올바른 위치로
재배열 시켜줌으로써
잇몸퇴축을 개선할 수 있는데요.
‘치아를 살리는 잇몸교정’ 치주교정 Options
▶ Option① 아랫니 부분교정 이후 핀홀 + 엠도게인
▶ Option② i-GBR + Pontic
환자분께 2가지 옵션을 제안드렸으며
옵션①을 적용하여 근본적인 문제였던
치아를 재배열하고 잇몸퇴축을 개선하는 치료계획을 수립했습니다.
아랫니 부분교정으로
치아배열을 개선하는 과정을 거쳤고
치아가 잇몸뼈 안으로 올바르게 위치하면서
치근 주변으로 잇몸이 점차 차오르는 게 관찰되었습니다.
약 10개월 간의 치주교정이 종결되었으며,
단순한 심미 개선 뿐만이 아니라
치아와 잇몸의 기능적 안정성이 확보되었습니다.
※ 환자분은 추후 치주과와 협력하여
핀홀 수술을 통해 잇몸퇴축 부위를
더욱 두툼하게 보강할 예정입니다.
잇몸이 불안정한 상태에서
무리한 교정을 진행하게 되면
치아뿌리가 흡수되거나 잇몸퇴축 등
다양한 문제가 동반될 가능성이 높습니다.
연세굿데이치과는 교정과 – 치주과가 협력진료하여
내 치아를 오랜기간 사용하실 수 있도록
적합한 치주교정 옵션을 제안드리고 있습니다.
올해 웨딩촬영을 앞두고 걱정이 크셨을텐데
치료 받으시느라 고생 많으셨습니다. ^^
※ 모든 사진은 환자 본인의 동의를 얻어 동일조건에서 촬영하였으며
개인의 차이에 따라 치료 후 부작용이 발생할 수 있으므로 전문의와 충분한 상담이 필요합니다.
※ 치료전후 촬영시기
(전) 2024년 10월 (후) 2025년 8월
---------------------------------
▶ 홈페이지 : https://www.gooddaysmile.com/
▶ 카톡상담 : http://pf.kakao.com/_xmxlhaxb/chat
비추천0
댓글목록
등록된 댓글이 없습니다.